Toggle navigation
Dylan Murray
Craniofacial, Plastic & Reconstructive Surgeon
MENU
MENU
HOME
BIOGRAPHY
Dylan Murray
Bibliography
Practice Philosophy
Media
RECONSTRUCTIVE
Reconstructive Plastic Surgery
Aesthetic
ORTHOFACIAL
Orthofacial Surgery
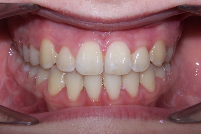
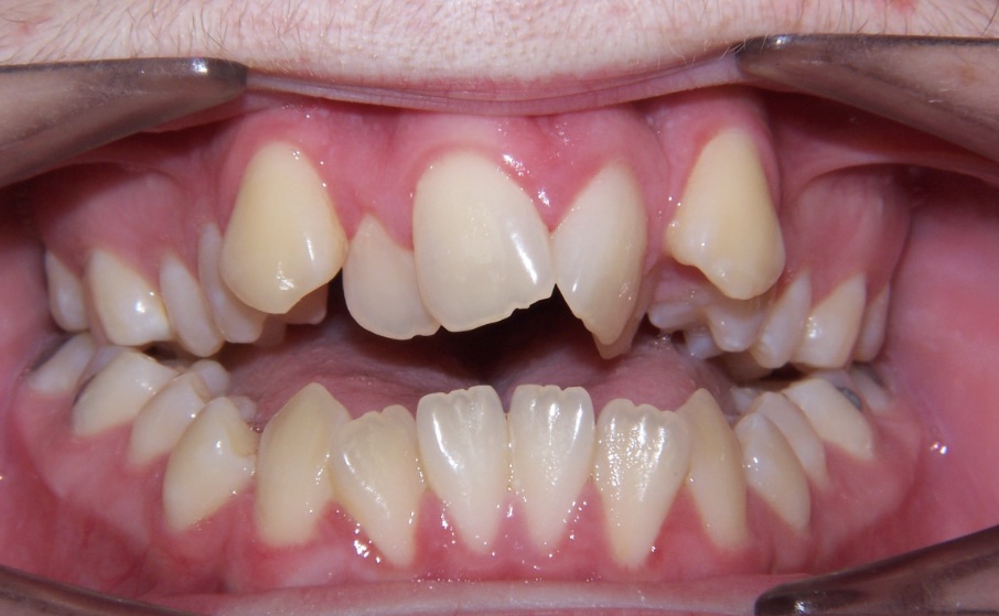
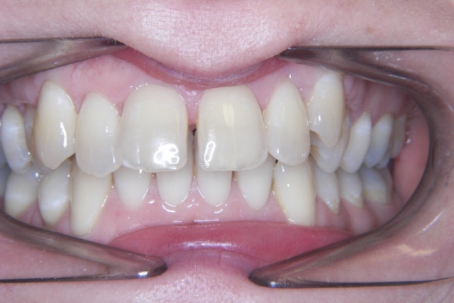
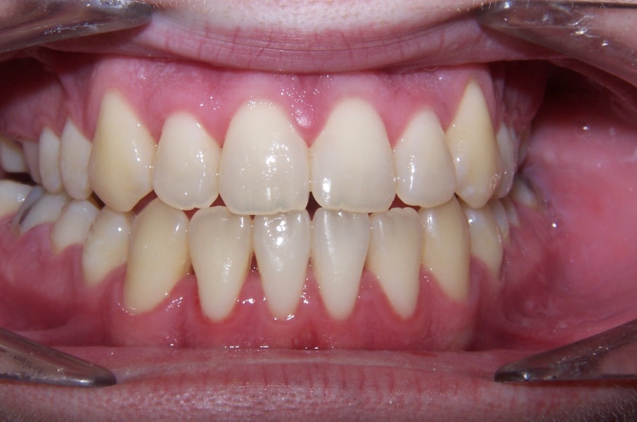
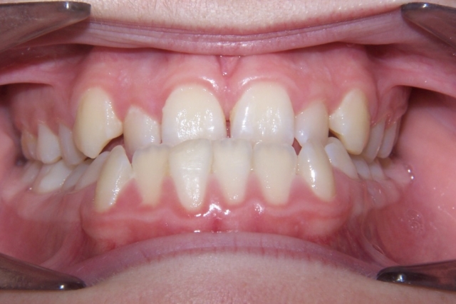
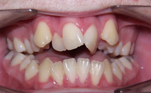
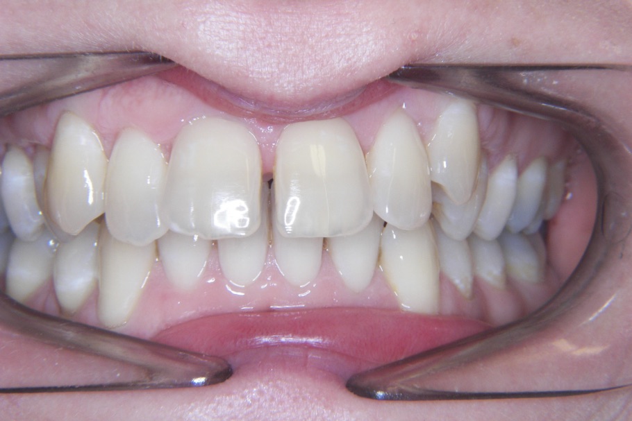
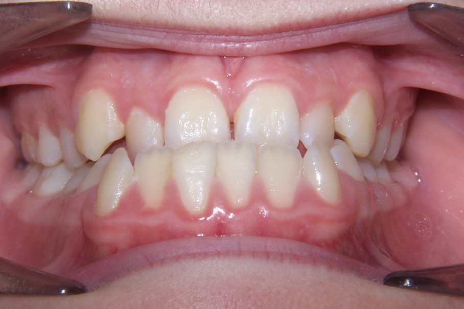
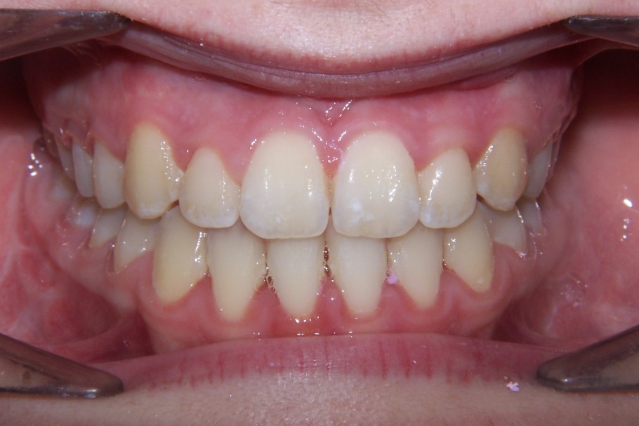
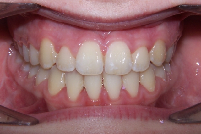
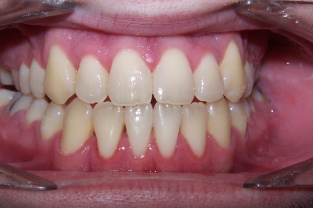
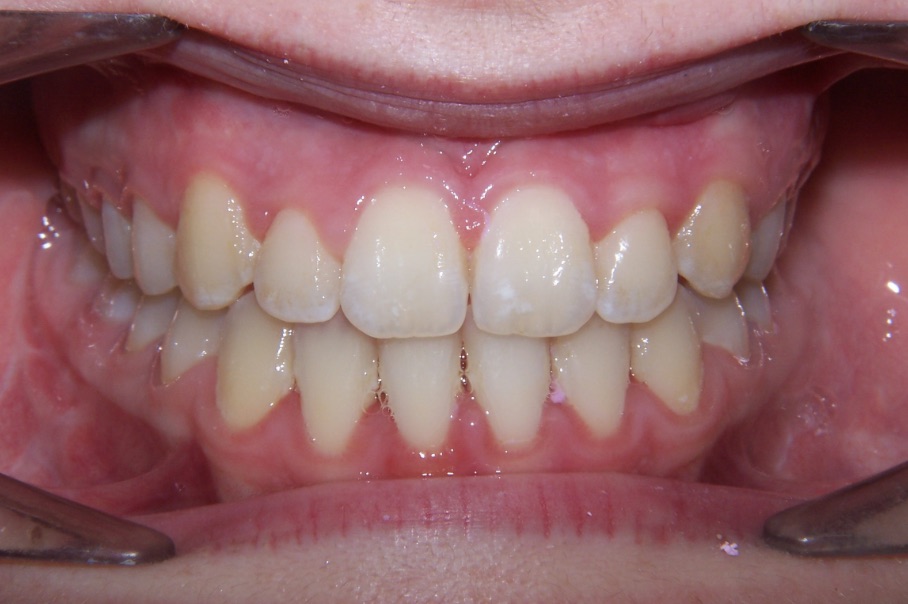
Teeth and Jaws Image Gallery
Orthofacial Patient Information: Jaw Surgey or Chin Surgery
Pre Surgery Checklist
Jaw Surgery Post Operative Instructions
Consultants I work with
CRANIOFACIAL
Craniofacial Surgery
Craniofacial Bibliography
CONTACT US
Teeth and Jaws Image Gallery
Double Jaw
Mandibular Advancement
Maxillary Advancement